Xherdan Shaqiri edhte zyrtarisht është...
Robert Lewandowski nuk është në...
Për disa aktorë mund të...
Kur Roberto Dillon filloi të...
Pikëllimi për humbjen e një...
Nuk është e lehtë të...
Ashtu si “Monday blue” edhe...
Shtrëngimet e kokës gjatë gjumit.
Në broshura, vendet përshkruhen si...
Kungulleshka është një perime që...
Për qëndrimin ulur ka me...
1. Mezhgorye është një qytet i...
Departamenti i Sherifit i tha...
Meghan McCain tha se ajo...
Ushqyerja është një aspekt shumë...
Ishemia dhe Sëmundjet Kardiovaskulare.
Situatat në të cilat jeni...
Poezi nga Primo Shllaku Me...
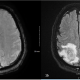
Nokardioza është një infeksion i...
Paris Hilton thotë se nuk...
Aluloza është një sheqer i...
Mbajtja e hidratimit është e...