Lajmet
Studim: Skanimet zbulojnë se si COVID-19 mund të ndryshojë trurin
Studimi është publikuar në revistën Nature.
Published
4 years agoon
By
Betim GashiInfektimi me COVID-19 mund të shkaktojë ndryshime në tru, sugjeron një studim.
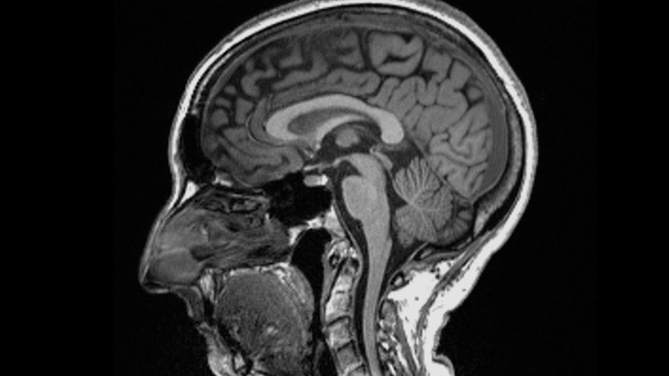
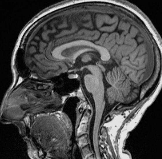
Shkencëtarët gjetën dallime të rëndësishme në skanimet MRI (imazhe me rezonancë magnetike) para dhe pas infeksionit. Edhe pas një infeksioni të lehtë, madhësia e përgjithshme e trurit ishte zvogëluar pak, me më pak lëndë gri në pjesët që lidhen me nuhatjen dhe kujtesën.
Studiuesit nuk e dinë nëse ndryshimet janë të përhershme, por theksuan se truri mund të shërohet.
Studimi është publikuar në revistën Nature. Autori kryesor, profesor Gwenaelle Douaud nga Qendra Wellcome për Neuroimazhe Integrative, në Universitetin e Oksfordit, tha: “Ne po shikonim një infeksion në thelb të butë, kështu që për të parë se ne mund të shihnim vërtet disa ndryshime në trurin e tyre. Dallimi krahasuar me ata që nuk ishin infektuar ishte befasi”.
Shkencëtarët riskanuan:
401 pjesëmarrës mesatarisht 4.5 muaj pas infektimit të tyre, 96% e të cilëve kishin pasur simptoma të lehta të COVID-19
384 pjesëmarrës që nuk kishin pasur COVID-19.
Të gjeturat:
Madhësia e përgjithshme e trurit në pjesëmarrësit e infektuar ishte tkurrur midis 0.2 dhe 2%.
Pati humbje në lëndën gri në zonat e nuhatjes, të lidhura me nuhatjen dhe rajonet e lidhura me kujtesën. Ata që ishin shëruar së fundmi nga COVID-19 e kishin pak më të vështirë të kryenin detyra komplekse mendore. Por studiuesit nuk e dinë nëse ndryshimet janë të kthyeshme apo me të vërtetë kanë rëndësi për shëndetin dhe mirëqenien.
“Duhet të kemi parasysh se truri është vërtetë plastik, me këtë nënkuptojmë se mund të shërohet vetë, kështu që ekziston një shans shumë i mirë që me kalimin e kohës efektet e dëmshme të infeksionit të lehtësohen”, tha Prof Douaud.
Projekti UK Biobank ka ndjekur shëndetin e 500 mijë njerëzve për rreth 15 vjet dhe ka një bazë të dhënash të skanimeve të regjistruara para pandemisë, kështu që ofroi një mundësi unike për të studiuar ndikimet afatgjata shëndetësore të virusit.
Humbja më e madhe e lëndës gri ishte në zonat e nuhatjes, por është e paqartë nëse virusi sulmon drejtpërdrejt këtë rajon apo qelizat thjesht vdesin nga mungesa e përdorimit pasi njerëzit me COVID-19 humbasin shqisën e nuhatjes. Është gjithashtu e paqartë nëse të gjitha variantet e virusit e shkaktojnë këtë dëm.
Skanimet u kryen kur virusi origjinal dhe varianti alfa ishin të përhapur dhe humbja e nuhatjes dhe shijes një simptom parësore por numri i njerëzve të infektuar me variantin më të fundit Omicron që raporton këtë simptomë ka rënë në mënyrë dramatike.
Paula Totaro humbi shqisën e nuhatjes kur u infektua me COVID-19, në mars të vitit 2020.
“Kur ishte zhdukur, ishte si të jetoje në një flluskë ose vakum e shihja me të vërtetë izoluese”, tha ajo për.
Por pasi kontaktoi organizatën bamirëse AbScent, e cila mbështet njerëzit që kanë humbur aftësinë e tyre për të nuhatur dhe shijuar, ajo filloi trajnimin e nuhatjes.
Zonja Totaro tani ka rikuperuar pjesën më të madhe të shqisës së saj të nuhatjes megjithëse ajo ende e ka të vështirë të identifikojë se cilat janë erërat e ndryshme.
“Është një përzierje gëzimi që ndjesia është rikthyer, por ende pak ankth që nuk jam ende aty”, tha ajo.
Shkencëtari kryesor i Biobank në Mbretërinë e Bashkuar, Prof Naomi Allen tha: “Ajo hap të gjitha llojet e pyetjeve që studiues të tjerë mund të ndjekin në lidhje me efektin e infeksionit të koronavirusit në funksionin njohës, në mjegullën e trurit dhe në zona të tjera të trurit dhe për të përqendruar vërtet kërkimin në sa më mirë për ta zbutur atë”.
Prof David Werring, nga Instituti i Neurologjisë i Kolegjit Universitar në Londër, tha se sjellje të tjera të lidhura me shëndetin mund të kenë kontribuar në ndryshimet e vërejtura.
“Ndryshimet në funksionin njohës ishin gjithashtu delikate dhe me rëndësi të paqartë me funksionin e përditshëm. Dhe këto ndryshime nuk shihen domosdoshmërisht në çdo individ të infektuar dhe mund të mos jenë të rëndësishme për shtamet më të fundit”, tha ai./UBTNews/
Lajmet
DITARI: Çfarë lajmesh kemi lexuar në çdo 25 prill, në vitet nëntëdhjetë
Published
20 hours agoon
April 25, 2026By
UBTNews
25 prill 1994
Lajm i plotë:
Forcat serbe vranë Naim Bajramin në Miratoc të Preshevës
Naim Bajrami (1969) nga fshati Llashticë i komunës së Gjilanit, u vra mbrëmë nga forcat serbe në afërsi të fshatit Miratoc të Preshevës.
Tash për tash nuk dihen detaje të tjera rreth vrasjes.
Në Komisionin për Informim të Degës së LDK-së në Gjilan thonë se Naim Bajrami para disa ditësh kishte dorëzuar një revole në policinë serbe për të shpëtuar babain e tij, Rrahmanin, i cili po torturohej nga policia.
Javën që shkoi policia sërish e bastisi shtëpinë e të ndjerit, mirëpo nuk gjeti kurrëfarë arme.
Në fshatin Llashticë gjatë aksionit të bastisjeve e torturimeve nën pretekst të mbajtjes së armëve pa leje, janë rrahur shumë persona.
Besohet se Naim Bajrami deshi të ikte nga Kosova nga frika e arrestimit dhe e torturimit në polici.
I ndjeri nuk kishte pasaportë.
Supozohet se ai u vra në përpjekje për ta kaluar kufirin e Serbisë me Maqedoninë.
Kufoma e të ndjerit është dërguar mbrëmë vonë në Qendrën Mjekësore në Gjilan, e cila po mbahet nën kontroll të rreptë nga policia.
Naim Bajrami ishte i martuar dhe baba i dy fëmijëve.
Kjo është viktima e dytë në këtë vendkalim kufitar në dy vitet e fundit. Më 1992 ishte gjetur i vrarë Nazim Hajdari nga fshati Stubëll e Ultë i Vitisë, ndërsa rrethanat e vrasjes së tij nuk janë sqaruar ende.
Lajm i plotë:
Klinton: Na brengos statusi i shqiptarëve në Kosovë
Me rastin e vizitës së kryeministrit grek, Andreas Papandreu, në Uashington, në një knferencë për gazetarë në Shtëpinë e Bardhë të premten e kaluar, një gazetar grek i shtroi pyetjen presidentit të SHBA, Bill Klinton, për pozitën e minoritarëve grekë në Shqipëri, përkatësisht të tensionit midis Shqipërisë dhe Greqisë që u ngrit pas vrasjes kriminale të dy ushtarëve shqiptarë nga komandosët që hyn nga territori i Greqisë.
“Çfarë mendoni për çështjen e tensionit midis Greqisë dhe Shqipërisë dhe a keni diskutuar (gazetari grek mendon për takimin me Papandreun – v.j.), çështjen e statusit të minoritarëve grekë në Shqipëri dhe, siç po thuhet, shkeljen e të drejtave të njeriut?”.
Megjithëse pyetja ishte për minoritarët grekë në jug të Shqipërisë, presidenti amerikan tërhoqi vëmendjen për statusin e shqiptarëve në Kosovë. Duke iu përgjigjur pyetjes, presidenti Klinton tha:
“Së pari mendoj se Greqia po tregon një vetëpërmbajtje dhe një gjykim të arsyeshëm. Natyrisht se përcjellim pozitën e minoritetit grek, por jemi të brengosur për statusin e shqiptarëve në Kosovë”, njofton “Bujku” i sotëm.
Presidenti i SHBA më tej tërhoqi vërejtjen për rrezikun e shpërthimit të një konflikti në rjaonin e tensionuar dhe theksoi se në përputhje me situatën janë ndërmarrë masa nga mekanizmat ndërkombëtare për izolimin e konfliktit aktual në Bosnjë, që ai të mos zgjerohet. Ai po ashtu bëri thirrje që të ulen tensionet dhe të ketë një mbikëqyrje të të drejtave të minoritaëve.
“I gjithë ky rajon është një bombë e kurdisur për ç’arsye ia kemi kushtuar kujdesin e deritashëm brenda autorizimeve të Kombeve të BAshkuara dhe të NATO-s në mënyrë që ta izolojmë konfliktin. Mendoj se duhet që të ftohen gjakrat dhe retorika e nxehtë dhe të vëgzhgohen të drejtat e minoritetit në mënyrë që të mos lejohet që lufta që po zhvillohet në Bosnjë të bartet në rajonet përreth ku tensionet po thellohen”, tha presidenti Klinton.
Lajme të tjera:
Planifikohet regjistrimi i 25 000 nxënësve në shkollën e mesme
Në Prishtinë ndiqen të rinjtë për rekrutim
U meremetua rruga dhe u hap një ambulancë në lagjen “Emshiri” të Prishtinës
Një ish-inspektor shqiptar i sigurimit u rrah në SPB-në e Pejës
Policia serbe u largua nga objekti në Bellaqevc të Madh
U ngrit akuza kundër Ramiz Alisë
Bashkësia Shqiptare protestoi përballë ambasadës greke në Bruksel
U përurua fusha e futbollit në lagjen Kodra e Trimave
Në Prizren policia plaçkiti tregun e plaçkave
Shkatërrim total gjyqeve serbe në Kosovë
25 prill 1995
Lajmet kryesore:
Gjyqi penal ndërkombëtar për krime në ish-Jugosllavi njofton për hetimet ndaj Karaxhiqit, Mlladiqit dhe Stanishiqit
Klaus Kinkel: Nuk bën ta harrojmë Kosovën dhe Maqedoninë
Arrin në Kosovë një delegacion i Kongresit Amerikan
Suzane Auer vizitoi PFK-në
Mësimi u pengua në disa shkolla në Prizren, Pejë dhe Prishtinë
Policia pengoi një manifestim në Përlepnicë të Gjilanit
Policia kërcënoi pronarin e shtëpisë-shkollë
Udhëheqësit e Kaçanikut vazhdojnë të mbahen në paraburgim
Në Tetovë mbahet nesër protestë kundër procesit të montuar ndaj rektorit Sylejmani
“Bujku” nuk u botua as sot për shkak të shantazheve të serbëve
Në Klinikën e Gjinekologjisë dhe të Akusherisë shtohet numri i vdekjeve
Dhuna e përditshme në Kosovë
Bashkëfshatarët e Vrapçanit në Prishtinë përkrahin protestën në Tetovë
NATO u propozua për çmimin Nobel
Lajm i plotë:
Në kufirin ndërmjet Shqipërisë dhe Malit të Zi u vra edhe një shtetas shqiptar
Në zonën kufitare mes Shqipërisë e Malit të Zi, gjegjësisht në rajonin e quajtur Brigje (Malësi e Madhe), më 23 prill 1995, rreth orës 03,05, patrulla e ushtrisë së Jugosllavisë së vetëshpallur, vrau shtetasin shqiptar Kolë Lekë Ivanaj (27) nga fshati Vrrakë i rrethit të Shkodrës.
Komisioni i përbashkët i Shqipërisë dhe Malit të Zi për zgjidhjen e incidenteve kufitare, nga vendi i ngjarjes konstatoi se tre shtetas shqiptarë paskan kaluar kufirin në mënyrë të paligjshme në këtë sektor dhe se rojet kufitare paskan shtirë në ta, derisa po tentonin të ktheheshin në territorin shqiptar, më ç’rast u vra Kolë Ivanaj, njofton TVSH.
25 prill 1997
Lajmet kryesore:
Konferencë për gazetarë e kryetarit të Republikës së Kosovës, dr. Ibrahim Rugova
Dr. Zejnullah Rrahmani: Vonesat e pagave pasojë edhe e përplasjeve politike
Adem Demaçi bisedoi me diplomatin gjerman Prygel
Sali Berisha: Grupet rebele dhe aleanca e PS me to – pengesë kryesore për zgjedhje
Azem Hajdari: Ministri Vukaj të distancohet nga “komitetet e shpëtimit”
Banda e armatosur sulmoi komesariatin e policisë në Elbasan
Leka Zogu vizitoi Vlorën
Abaz Ermenji: “S’mund të ketë zgjedhje kur jehojnë armët”
Për armëmbajtje u dënua me 5 muaj burg
U lirua nga burgu Muhamet Latifi
Dhuna e përditshme në Kosovë
Kërkohet Afrim Mustafa nga Gjilani
Lajm i plotë:
Dy të vrarë në Përmet
Prishtinë, 25 prill (QIK)
Dje në mengjes në qytetin e Përmetit u gjetën të vrarë nga armë zjarri dy persona, at e bir, 60 dhe 40 vjeç.
Burime të komisariatit të policisë së rrethit, konfirmuan se personat në fjalë janë qëlluar me armë zjarri. Ende nuk dihen motivet dhe autorët e këtij krimi.
Nga fillimi i trazirave në këtë reth janë vrarë 16 vetë dhe janë plagosur 75 të tjerë.
Ndërkaq, disa kilometra larg pikës kufitare të Kakavijës, një grup personash të armatosur kanë sulmuar një autobus që udhëtonte në drejtim të Tiranës dhe kanë vrarë një banor të fshatit Selenicë të rrethit të Vlorës, njofton ATSH.
Lajm i plotë:
U maltretua në polici pse u gjet në kafenenë ku u vra zv/ministri serb i policisë
Prishtinë, 25 prill (QIK)
E pajisur me autoblinda, një ekspeditë e policisë serbe ndërhyri më 22 prill në shtëpinë e Rexhep Rexhepit në fshatin Peran, njofton KI i Degës së LDK-së në Podujevë.
- Rexhepi u dërgua në stacionin e policisë në Podujevë dhe u maltretua rreth tri orë. Pretekst për këtë ishte se ai kishte qenë rastësisht në lokalin “Mama mia” në Beograd në momentin kur u vra zëvendësministri serb i policisë Radovan Stojiçiq.
Policia e urdhëroi atë të mos largohej nga shtëpia, sepse do ta marrë sërish në pyetje.
25 prill 1998
Edicioni i parë (Ora 12:30)
Lajm i plotë:
Rifilloi sulmi kundër Baballoqit
Gjendja në territorin e komunës së Deçanit po rëndohet nga dita në ditë. Mbrëmë forcat ushtarko-policore kanë shtëna nga armët e lehta edhe nga artileria e rëndë. Si pasojë e kësaj, prej dje edhe fshati Baballoç ka mbetur pa rrymë elektrike nga se forcat serbe kanë granatuar trafon e këtij fshati. Pas prishjes së trafos, është dëmtuar dukshëm edhe rrjeti i tensionit të lartë të rrymës elektrike. Kjo ka futur shqetsim tek qytetarët që kanë mbetur në mbrojtje të fshatit, e po ashtu të njëjtit kanë mbetur edhe pa informim.
Nga disa persona që kanë dalë nga shtetrrethimi i fortë ushtarako-policor, njoftohet se deri dje janë dëmtuar pjesërisht rreth 20 shtëpi të fshatit. Ata kanë treguar se në bregoren e fshatit që konsiderohet si pikë strategjike, vazhdimisht po gjuajnë snajpersitët serbë, ndërsa në Sukën e Baballoçit është vendosur një top me tytë të kthyer në drejtim të fshatit dhe 4 kamionë ushtarakë.
Gjatë ditës së djeshme në këtë anë kanë shkuar përforcime ushtarake, por edhe përkundër kësaj, burrat dhe popullata po i mbrojnë pragjet e shtëpisë së vet.
Fshati Baballoq u sulmua edhe sot që nga ora 4,10 minuta, me të shtëna nga të gjitha llojet e armëve.
Forca të shumta ushtarake gjenden në zonën kufitare mes Kosovës e Shqipërisë, të cilat që nga mëngjesi po shtinë edhe me armë të rënda, njofton KI i LDK-së në Deçan.
Lajm i plotë:
Shumë deçanas në mesin e të ekzekutuarve nga ushtria jugosllave
Në mesin e 23 të vrarëve nga ana e ushtrisë jugosllave në kufirin shqiptaro-shqiptar, dyshohet se ka edhe të vrarë nga komuna e Deçanit. Për numrin dhe identitetin e tyre edhe më tutje nuk ka të dhëna nga pamundësia e qarkullimit të njerëazve dhe të informatave nga vendi i ngjarjes, njofton KI i LDK-së në Deçan.
Lajm i plotë:
Qelë Deskun, nuk e vrau UÇK siç pretendon Beogradi, por policia serbe
Qelë Shaban Desku (41) nga Kliçina u vra dje nga policia serbe. KI i Degës së LDK-së në Pejë njofton se me rastin e ndërhyrjes së policisë në këtë fshat, Qela u plagos rëndë derisa po dilte për të parë se ç’po ndodhte me nxënësit që gjendeshin në shkollë. Një gjysmë orë pasi u qëllua me armë nga policia, ai vdiq, pasi për shkak të bllokadës së policisë, askush nuk pati mundësi t’i jipte asnjë ndihmë.
Në këtë mënyrë hidhen posht pretendimet e mediumeve dhe të policisë serbe se kinse Qelë Deskun e vranë dje terroristët shqiptarë për shkak se ai ishte lojal ndaj Serbisë dhe pse ai kishte marrë pjesë në referendumin serb kundër ndërmjetësuesve ndërkombëtarë në zgjidhjen e çështjes së Kosovës.
Dëshmitarët nga Kliçina dhe Jabllanica thonë se trupin e pajetë të Qelë Deskut, baba i pesë fëmijëve, e mori një automobil i ndihmës së shpejtë dhe atë deri sot paradite ende nuk e ka marrë familja.
Në këtë njoftim jipen detaje të ndërhyrjes së mbi 100 policëve gjatë ditës së djeshme në Kliçinë, Jabllanicë dhe Rosujë. Gjatë ndërhyrjes policia plagosi nxënësit Afrim H. Berishën (17) e Burim A. Berishën (17). Afrimi u plagos në dorën e majtë, ndërsa i dyti në këmbën e majtë.
Policia shtiu me armë edhe kundër Naim B. Abazit (22) dhe Jeton M. Abazit (17) nga Jabllanica. Këta të dytë pasi u kapën nga policia, u rrahën në vend dhe pastaj u dërguan në postkomandën e policisë, ku sërish u keqtrajtuan rëndë fizikisht, e pastaj u liruan.
Gjatë aksionit serb u bastisën shtëpitë e Ramiz e Mehmet Zogajt në Kliçinë, ndërsa në Jabllanicë të Leshanit u bastisën shtëpitë e Tahir e Ramë Abazit, Zenel Atashit, Hamdi Senikut dhe Haxhi Berishës, në të cilat u demolan shumë orendi.
U rrah nga policia edhe Fekë B. Atashi nga Jabllanica, i cili, në të kthyer nga Peja, u ndalua para postkomandës në Kliçinë dhe u keqtrajtua në prani të anëtarëve të familjes që po udhëtonin me të.
Gjatë ndërhyrjes në këto fshatra, që zgjati nga ora 12 deri në orën 15, forcat policore serbe shtinë pandërprerë me armë zjarri, duke rrezikuar banorët e pafajshëm. Ndërsa, nxënësit e shkollës fillore, që nuk mundën të largohen nga shkolla, u strehuan deri në fund të aksionit në një shtëpi në afërsi.
Lajm të tjera:
Policët malazezë paralajmërojnë tërheqjen nga policia serbe në Deçan
Paralizim i furnizimit me bukë e gjëra ushqimore
Ali Hasani i kindnapuar u paraqit nga Prizreni
Vërshim i ushtrisë jugosllave në Gjakovë dhe rrethinë
Regjimi serb dhe ushtria jugosllave duan të mbajnë të fshehura aksionet kriminale në Deçan dhe në Gajkovë
Në vendet e sulmuara nuk ka shkuar ende asnjë përfaqësues republikan
MPJ e Shqipërisë: “Incidentet kufitare të pretenduara nga qeveria e Beogradit – krejtësisht të pavërteta”
Territori i Klinës po mbahet i rrethuar nga forcat ushtarake e policore serbe
U arrestua kryetari i Degës së LDK-së në Klinë
Policia rrahu dhe plaçkiti një qytetar shqiptar
Edicioni i dytë (Ora 15:00)
Lajmet kryesore:
Përforcime të vazhdueshme të forcave ushtarake e policore në Gjakovë
Forca ushtarake vazhdojnë të vijnë nga Serbia në Kosovë
Vushtrri: Ilir Merovci u plagos në afërsi të stacionit të policisë në fshatin Druar
Rubin: Situata në Kosovë nuk mund të durohet
SHBA-të do të angazhohen për forcimin e sanksioneve ndaj Beogradit
Deklaratë e presidencës së UE-së për Kosovën
Vedrin: “Arsyetim i pasuksesshëm i autoriteteve në Beograd”
Qëndrimi italian për çështjen e Kosovës
Turqia e gatshme të dërgojë trupat në forcat eventuale ndërkombëtare në Kosovë
Ushtria e Shqipërisë në gjendje gatishmërie
Një shtab i posaçëm orerativ shqiptar vepron në zonat kufitare
Kukës: Ushtria jugoslave i solli nga fshatrat e Deçanit dhe i ekzekutoi në Kosharë shqiptarët
Kryetari Rugova mori pjesë në takimin me kryetarët e degëve të LDK-së
Armatosen edhe serbët e Klinës
Në Kamenicë serbëve u shpërndahen armë dhe uniforma
Në Suharekë armatosen civilët serbë
Në Gazimestan të Prishtinës u vendosën forca të mëdha ushtarako-policore
Paramilitarët serbë të Istogut thërrasin për mobilizim
Stërvitje të ushtrisë në fshatrat e Vushtrisë
Ushtarët serbë provokuan dy qytetarë shqiptarë
Edhe sot, forca të shtuara të policisë në Mitrovicë
Civilë të shumtë serbë po armatosen në Gjilan
Forca ushtarake në Bërnicë – vazhdojnë të digjen malet në Barilevë
Në Shtime prani e madhe e policisë serbe
Në njësinë speciale të policisë në Hajvali është vërejtur edhe krimineli serb Arkan
Mijëra qytetarë morën pjesë edhe në ditën e gjashtëmbëdhjetë të manifestimeve protestuese
Oficeri franzez, i akuzuar për spiunazhë, udhëhoqi trupat franceze gjatë operacioneve paqësore në Shqipëri
Manipulime të mëdha me numrin e votuesve në referendumin serb në Kosovë
Një qytetari shqiptar nga Pozhorani policia ia plaçkiti 7. 000 DM
Edicioni i tretë (Ora 15:45)
Lajm i plotë:
Ushtria jugosllave njofton emrat e dhjetë shqiptarëve të vrarë në Kosharë
Në një njoftim me titull “Identifikohen trupat e dhjetë terroristëve”, agjencia serbe e lajmeve Tanjug transmeton sot një kumtesë të gjyqit ushtarak të Nishit në Serbi, përmes së cilës njoftohen emrat e dhjetë shqiptarëve të vrarë gjatë aksionit të ushtrisë jugosllave më 23 prill në karakollin e Kosharës mes Kosovës e Shqipërisë.
Në kumtesë thuhet:
“Gjyqtari hetues i Gjyqit ushtarak në Nish, nënkoloneli Radenko Miladinoviq, ka kumtuar sot se menjëherë pas incidentit kufitar në rajonin e karakollit ‘Kosharë’ më 23 prill, ka dalë në vendin e ngjarjes dhe ‘në rajonin e gjerë’ në mes gurëve kufitarë C-3 dhe C-2/10 në kufirin jugosllavo-shqiptar, me hetimin e terrenit dhe ka gjetur 19 kufoma dhe një sasi të madhe armësh, municioni dhe pajisjesh ushtarake të prodhimit të huaj.
Në kumtesë thuhet se me njohjen nga ana e personave të arrestuar dhe në bazë të letërnjoftimeve të gjetura u vërtetua se bëhet fjalë për këta të vrarë:
- Shefqet Selim Aliaj, nga fshati Hereç i Gjakovës, i lindur më 1969;
- Bekim Sali Aliaj, nga fshati Hereç;
- Hasan Bajram Tahiraj, nga fshati Hereç;
- Skender Qazim Hajdaraj, nga fshati Hereç, i lindur më 1969;
- Gazmend Hasan Ramaj, nga fshati Hereç, i lindur më 1972;
- Ukë Misin Shabani, nga fshati Hereç;
- Sadik Lush Alijaj, nga fshati Hereç, i lindur më 1961,
- Hasan Tahir Dinaj, nga fshati Hereç;
- Hajdar Ramadan Taçaj (ndoshta Thaçaj), nga fshati Hereç, i lindur më 1972;
- Vehbi Asllan Hasanaj, nga Hereçi.
Në kumtesë thuhet se gjatë shikimit në vendin e ngjarjes janë gjetur edhe letërnjoftimet e këtyre personave:
- Gëzim Shefqet Haredinajt, i lindur më 1976, nga fshati Sllup i Deçanit,
- Arben Bajram Hadërgjonaj, nga fshati Sllup, i lindur më 1978,
- Beqë Binak Lokaj, nga fshati Sllup, i lindur më 1968,
- Imer Isuf Lokaj, nga fshati Sllup, i lindur më 1970,
- Bekim Shefqet Mazrekaj, nga Deçani, i lindur më 1976,
- Xhemajl Sejdi Mazrekaj, nga Deçani, i lindur më 1969.
Në kumtesë thuhet se është e mundshme që këta persona të jenë vrarë në ngjarjen e përmendur. Puna e identifikimit vazhdon.
Në kumtesë thuhet se janë arrestuar Gazmend Mustafë Tahiraj, profesor i gjuhës angleze nga fshati Hareç, i lindur më 1970 dhe Ibër Sherif Metaj, bujk, nga fshati Hereç i lindur më 1961.
Këta dy persona janë trajtuar nga pikëpamja kriminalistike dhe kundër tyre është në proces procedura penale në Gjyqin ushtarak në Nish.
Gjyqtari ushtarak ka saktësuar se në rastin e shikimit në vend të ngjarjes janë gjetur këto armë, municione dhe pajisje ushtarake të prodhimit të huaj: 7 pushkomitralozë të kalibrit 7,62 mm, 5 pushkë gjysmautomatike të kalibrit 7,62 mm, 5 pushkë automatike të kalibrit 7,62 mm, 2 minahedhës dore, 2 mitralozë PKT, 67 bomba dore, 123 ndezës të bombave, 16 granata të minahedhësve, mbi 20 mijë copë municon të kalibrave të ndryshëm, 1 shtrat për minahedhës 60 mm dhe arkëz për pushkomitraloz.
Për shkak se ngjarja ka ndodhur në një hapësirë të gjerë dhe vështirë të kalueshme, po vazhdohet me gjurmimin e terrenit, thuhet në kumtesë.
Siç shihet, në këtë kumtesë nuk figuron askund emri i Naim Malokut, i vetmi emër që është përmendur në të gjitha njoftimet e Beogradit, e nuk përmenden as emrat e disa ish-eprorëve ushtarakë shqiptarë në ushtrinë e ish-Jugosllavisë, për të cilët ka barë zhurmë të madhe propaganda serbe pas incidentit në Kosharë.
Lajme të tjera:
Forca të mëdha policore serbe shkuan nga Klina drejt Skënderajt
“Frankfurter Algemaje Cajtung”: I domosdoshëm intervenimi ushtarak në Kosovë
Kinkel: “Milosheviqin do ta detyrojmë të hyjë në dialog”
Përfaqësuesit e LRDK-së u takuan me diplomatë të huaj
Edicioni i katërt (Ora 19:00)
Lajmet kryesore:
Kryetari Rugova priti diplomatë të lartë italianë
Dëshmi: Shqiptarët u ekzekutuan në Zharet e Batushës, 4 km në brendësi të Kosovës
Forcat ushtarako-policore serbe sulmuan sot Morinën
Trupat e viktimave të vrarë u dërguan nga Gjakova në Hereç
Në Prizren rafale armësh dhe mobilizim i serbëve
Në Prizren vazhdojnë shëtitjet protestuese
Edicioni i pestë (Ora 20:10)
Lajm i plotë:
Forca të shumta ushtarake arrijnë në mbrëmje në Deçan
Forca të mëdha të ushtrisë jugosllave kanë arritur sonte në mbrëmje në Deçan, njofton Komisioni për Informim i Degës së LDK-së në Deçan.
Rreth orës 18:00 nëpër qendër të Deçanit parakaluan 12 tankse dhe disa autoblinda të ushtrisë jugosllave dhe duke kënduar me megafon këngë çetnike, si këngën famëkeqë “Marsh në Drinë”, shkuan në manastirin e Deçanit.
Në orën 19:30 nëpër qendrën e qytetit parakaluan edhe 13 tankse dhe 40 kamionë me ushtarë. Konvoji shkoi e u vendos në karakollin e ushtrisë në Hulaj, afër Deçanit.
Ndërsa në drejtim të Gjakovës shkoi një autoblindë, dy tankse dhe disa automjete të tjera.
Gjatë ditës së sotme, në Baballoq pati sulme të herëpahershme me armë të ndryshme.
Nga Deçani njoftohet se sot në Gjakovë policia kindnapoi Hysen Çallakajn nga Baballoqi dhe Hysen Kasumajn, Mehmet Agajn e Gani Rexhajn. Për ta nuk dihet asgjë.
Rreth orës 12:00 policia ka rrahur Demë Halil Cacajn dhe Muharrem Bajramajn.
Foto: Presheva
Lajmet
Studentët e Psikologjisë në UBT realizojnë aktivitete ndërgjegjësuese për shëndetin emocional në “Akademia Elite”
Published
2 days agoon
April 24, 2026By
UBTNews
Në kuadër të angazhimit të vazhdueshëm për ndikim social dhe edukativ, Fakulteti i Psikologjisë në UBT ka realizuar një vizitë në institucionin “Akademia Elite”.
Nën udhëheqjen e Prof. Violeta Zefit, studentët e vitit të tretë patën mundësinë të takojnë drejtueset e akademisë dhe të bashkëbisedojnë mbi praktikat më të mira të mbështetjes psikologjike për fëmijët.
Pjesa qendrore e kësaj vizite u fokusua në zhvillimin e një sërë aktiviteteve interaktive me fëmijët, të cilat u dizajnuan posaçërisht për t’i njohur ata me botën e emocioneve dhe rolin vendimtar që luan inteligjenca emocionale në shëndetin dhe mirëqenien e tyre të përgjithshme.
Përmes lojërave edukative dhe teknikave të thjeshta shpjeguese, studentët ndihmuan fëmijët të identifikojnë dhe të shprehin ndjenjat e tyre, duke krijuar një mjedis ku mirëqenia psikologjike trajtohet si prioritet që në moshë të hershme.
Kjo nismë nuk shërbeu vetëm si një urë lidhëse mes teorisë akademike dhe praktikës në terren për studentët, por u vlerësua edhe si një kontribut i çmuar për komunitetin.
Angazhime të tilla konfirmojnë misionin e UBT-së për të përgatitur profesionistë të ndjeshëm ndaj nevojave sociale, duke ofruar ekspertizën e tyre në shërbim të institucioneve edukative dhe shëndetit mendor të gjeneratave të reja.
Lajmet
Profesoresha Violeta Zefi dhe studentja Zhaneta Shatri publikojnë studimin shkencor në revistën prestigjioze “International Journal of Educational Reform”
Published
2 days agoon
April 24, 2026By
UBTNews
Profesoresha Violeta Zefi nga Fakulteti i Psikologjisë në UBT ka publikuar artikullin e saj më të ri shkencor në revistën ndërkombëtare “International Journal of Educational Reform”, e cila botohet nga platforma prestigjioze Sage Journals.
Bashkautore në këtë punim është edhe studentja e vitit të tretë, Zhaneta Shatri, duke dëshmuar suksesin e metodologjisë së mësimdhënies së orientuar kah hulumtimi që aplikohet në UBT.
Ky artikull trajton rëndësinë e perspektivës së prindërve në rastet e fëmijëve me vështirësi specifike në të nxënë, duke vënë në pah se si qëndrimet e tyre ndikojnë drejtpërdrejt në zhvillimin akademik dhe emocional të fëmijëve.
Përmes intervistave të thelluara me 53 prindër, studimi ka zbuluar se mungesa e informacionit shpesh krijon pasiguri në identifikimin e hershëm të sfidave me të cilat përballen fëmijët.
Si rrjedhojë, punimi thekson nevojën urgjente për krijimin e sistemeve më të forta mbështetëse, si programet edukative të përshtatura, udhëzimet profesionale dhe qasjen në shërbime psikologjike.
Ky publikim përbën një kontribut të rëndësishëm për fushën e psikologjisë dhe edukimit, duke shërbyer si një udhërrëfyes për politika më të avancuara në përkrahjen e mirëqenies së fëmijëve dhe familjeve të tyre.
Artikullin mund ta lexoni këtu: https://journals.sagepub.com/doi/abs/10.1177/10567879261436425
Foto: Violeta Zefi
Foto: Zhaneta Shatri
Lajmet
Kuvendi zgjedh dy anëtarë të Këshillit Gjyqësor
Published
2 days agoon
April 24, 2026By
UBTNews
Kuvendi i Kosovës ka zgjedhur sot dy anëtarë të rinj të Këshillit Gjyqësor të Kosovës (KGJK) me një mandat pesëvjeçar.
Pas procesit të votimit, u bë e ditur se anëtarët e përzgjedhur janë Bashkim Hyseni dhe Ivana Milenkoviq, të cilët do të jenë pjesë e këtij organi të rëndësishëm të sistemit të drejtësisë.
Ndërkohë, për sa i përket pozitës së një përfaqësuesi nga komuniteti serb, Kuvendi njoftoi se procesi do të rikthehet në pikën zero pasi asnjë kandidat nuk mori votat e mjaftueshme. Si rrjedhojë, për këtë pozitë do të shpallet së shpejti një konkurs i ri për të plotësuar vendin e mbetur vakant.
DITARI: Çfarë lajmesh kemi lexuar në çdo 25 prill, në vitet nëntëdhjetë
Premier League, La Liga dhe Bundesliga sjellin ndeshje të zjarrta
Studentët e Psikologjisë në UBT realizojnë aktivitete ndërgjegjësuese për shëndetin emocional në “Akademia Elite”
Profesoresha Violeta Zefi dhe studentja Zhaneta Shatri publikojnë studimin shkencor në revistën prestigjioze “International Journal of Educational Reform”
Kuvendi zgjedh dy anëtarë të Këshillit Gjyqësor
Profesori nga Holanda ligjëron në UBT për vlerësimin e pasurive të paluajtshme
Studentët e programit Real Estate në UBT përfitojnë nga ekspertiza ndërkombëtare në arkitekturën e qëndrueshme
Drilon Hajrizi shkëlqen, udhëheq Trepçën drejt fitores ndaj Pejës
NATO mohon mundësinë e pezullimit të shteteve anëtare
Të kërkuara
-
Lajmet2 months agoUBT nderon Familjen Jashari me Dekoratën Jetësore të Nderit
-
Lajmet2 months agoKoordinatorja e projektit AKIL-EU në UBT, prof. Manjola Zaçellari, referon në University of Oxford
-
Lajmet2 months agoPërfundon seanca e sotme në Hagë për pengim të drejtësisë
-
Live2 months agoKryegjykatësi Smith III shpall mbylljen e çështjes gjyqësore
