Lajmet
Të vërtetat e miteve më të përhapura rreth epilepsisë
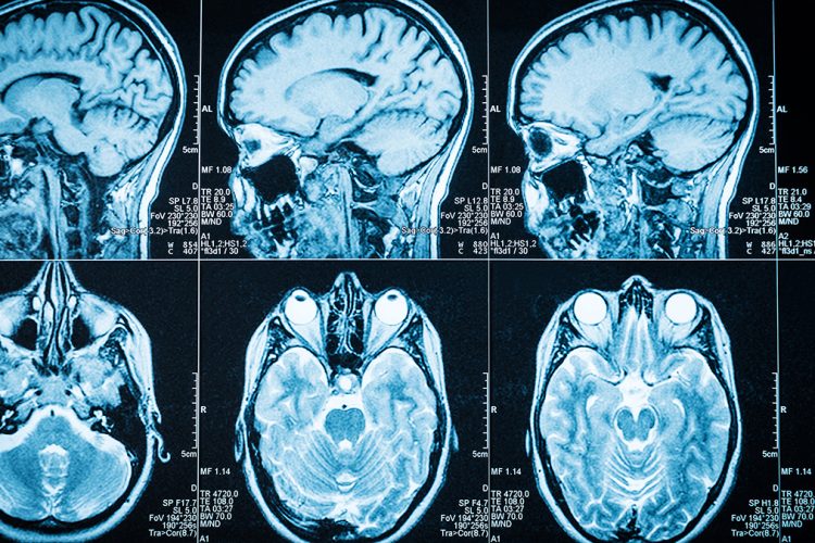
Simptoma kryesore për shumicën e njerëzve me epilepsi janë konvulsionet.
Published
4 years agoon
By
UBT newsNë nivel global, Organizata Botërore e Shëndetësisë (OBSH) vlerëson se epilepsia prek rreth 50 milionë njerëz.
Nga këto, rreth 80% jetojnë në vende me të ardhura të ulëta ose të mesme.
Simptoma kryesore për shumicën e njerëzve me epilepsi janë konvulsionet, që shkaktohen nga rritja e aktivitetit elektrik në tru.
Ato janë dridhje të pakontrolluara të trupit, si pasjoë e kontraktime të muskujve dhe qetësimit të tyre në mënyrë të përsëritur.
Njerëzit me epilepsi shpesh duhet të përballen edhe me mitet rreth kësaj smënudjeje.
Më poshtë, AgroWeb.org ju njeh me të vërtetat rreth këtyre miteve.
Epilepsia është ngjitëse
Ky është një mit i vjetër që është ende i përhapur, veçanërisht në disa pjesë të botës.
Megjithatë, shkaku i sëmundjes është ende i panjohur në rreth 50% të rasteve globale.
Njerëzit me epilepsi janë emocionalisht të paqëndrueshëm
Është e mundimshme të kesh një çrregullim të tillë dhe të dish se një konvulsion mund të ndodhë në çdo kohë.
Por shumica e pacientëve me epilepsi janë të lumtur dhe shumica e rasteve kontrollohen lehtësisht duke përdorur monoterapi ose një medikament kundër konvulsioneve.
Epilepsia është një sëmundje mendore
Epilepsia nuk është një sëmundje mendore dhe shumica dërrmuese e njerëzve që kanë epilepsi nuk kanë probleme konjitive apo psikologjike.
Por disa probleme psikologjike, mund të ndodhin tek njerëzit me epilepsi të rëndë dhe të pakontrolluar.
Nëse dikush ka një krizë, duhet të vendosësh diçka në gojën e tij.
Ky është një mit i rrezikshëm që mund të dëmtojë dhëmbët ose nofullën.
Personat me epilepsi nuk duhet të mbeten shtatzënë.
Edhe pse kjo nuk është e vërtetë, mjekët e konsiderojnë shtatzënë te njerëzit me konvulsione me rrezik të lartë.
Ata duhet ndiqen më nga afër nga neurologu dhe mjeku gjinekolog gjatë kësaj periudhe.
Njerëzit gëlltisin gjuhën e tyre gjatë një konvulsioni.
Ky është një mit që shtrihet përtej epilepsisë. Në fakt, nuk është e mundur të gëlltitet gjuha në asnjë rrethanë.
Megjithatë, gjatë një konvulsioni, është e mundur që individi të të dëmtojë dhëmbët, të kafshojë buzët ose gjuhën.
Asnjë trajtim nuk e ndihmon epilepsinë.
Edhe pse nuk ka kurë për epilepsinë, ka një sërë trajtimesh që janë në dispozicion për të ndihmuar këta pacientë.
Për individët që nuk i përgjigjen ilaçeve, opsionet e tjera përfshijnë kirurgjinë, stimulimin e nervit vagus dhe madje edhe ndërhyrjet dietike.
Ndërsa shkencëtarët vazhdojnë të studiojnë, ata po i afrohen gjithnjë e më shumë një kure për epilepsinë./AgroWeb.org
Vendi
Sorensen prezanton planin e punës për normalizimin e raporteve Kosovë-Serbi gjatë takimeve në Bruksel
Published
1 hour agoon
May 13, 2026By
UBTNews
Përfaqësuesi i Posaçëm i Bashkimit Evropian për Dialogun Kosovë-Serbi, Peter Sorensen, ka njoftuar përmes platformës “X” se gjatë kësaj jave ka zhvilluar takime të ndara dhe të detajuara në Bruksel me të dy kryenegociatorët, ku Kosova është përfaqësuar nga Agron Bajrami.
Gjatë këtyre diskutimeve, Sorensen ka paraqitur planin e punës mbi normalizimin e marrëdhënieve mes Kosovës dhe Serbisë, duke specifikuar hapat dhe angazhimet që priten gjatë muajve të ardhshëm.
Ky njoftim vë në pah përpjekjet e vazhdueshme të Bashkimit Evropian për të koordinuar agjendën e dialogut dhe për të siguruar progres në procesin e stabilizimit të raporteve mes dy vendeve në kuadër të kornizës së përcaktuar nga Brukseli, duke mbajtur takime të veçanta me përfaqësuesit e palëve për të shpjeguar në detaje ecurinë e planit të punës për periudhën vijuese.
Aktualitet
Gjykata Supreme shfuqizon tarifën 3-euroshe për shoqëruesit e pacientëve në QKUK
Published
2 hours agoon
May 13, 2026By
UBTNews
Gjykata Supreme e Kosovës ka shpallur të paligjshme tarifën prej 3 eurosh për personat shoqërues mbi 15 vjeç të pacientëve në QKUK, duke shfuqizuar pjesërisht Udhëzimin Administrativ nr. 03/2024 për bashkëpagesat në shërbimet shëndetësore. Ky vendim erdhi pas padisë së Institutit të Kosovës për Drejtësi kundër Ministrisë së Shëndetësisë, me të cilën kontestohej ligjshmëria e kësaj pagese ditore.
Pas shqyrtimit të provave, Gjykata vlerësoi se Ministria ka tejkaluar autorizimet e saj ligjore dhe ka zgjeruar në mënyrë të palejuar nocionin e bashkëpagesës, pasi ky detyrim mund të vendoset vetëm ndaj personave që janë përfitues të drejtpërdrejtë të shërbimeve shëndetësore.
Sipas aktgjykimit, tarifimi i shoqëruesve cenon të drejtën për qasje të barabartë në kujdesin shëndetësor dhe krijon obligime financiare pa bazë të qartë ligjore, duke pasur parasysh se prania e familjarëve është shpesh e domosdoshme për pacientët.
Edhe pse kjo tarifë nisi të zbatohej nga shkurti i këtij viti, Gjykata Supreme theksoi se aktet nënligjore duhet të jenë gjithmonë në përputhje me ligjin dhe nuk mund të krijojnë kategori të reja tarifimi të paparashikuara më parë.
Vendi
Publikohen listat e kandidatëve, këta janë emrat që synojnë ulëset e Kuvendit
Published
4 hours agoon
May 13, 2026By
UBTNews
Pas përmbylljes së afatit zyrtar për dorëzimin e listave në KQZ, subjektet kryesore politike në vend kanë zbuluar emrat e kandidatëve me të cilët do të kërkojnë votën e qytetarëve në zgjedhjet e parakohshme të 7 qershorit. Gara pritet të jetë e fortë, me ndryshime interesante në renditje dhe prurje të reja në listat zgjedhore.
Listës së Lëvizjes Vetëvendosje i prin kryeministri aktual, Albin Kurti. Në dhjetëshen e parë radhiten emrat kryesorë të partisë si Glauk Konjufca, Donika Gërvalla, Avni Dehari, Albulena Haxhiu dhe Xhelal Sveçla. Një detaj që ka rënë në sy është mungesa e Besnik Bislimit dhe Hysen Durmishit, me këtë të fundit që deklaroi se ishte vendim i tij personal. Ndërkohë, në listë është përfshirë Arton Konushevci, vëllai i heroit Ilir Konushevci, me numrin 15.

Lidhja Demokratike e Kosovës (LDK) këtë herë garon me një listë ku bartëse është ish-presidentja Vjosa Osmani, e ndjekur nga kryetari i partisë, Lumir Abdixhiku. Pjesë e dhjetëshes janë edhe Kujtim Shala, Lutfi Haziri e Anton Quni. Megjithatë, befasi mbetet renditja e Avdullah Hotit dhe Hykmete Bajramit jashtë top-dhjetëshes, përkatësisht me numrat 11 dhe 12. Në listë është rikthyer edhe Ukë Rugova, djali i presidentit historik Ibrahim Rugova.

Partia Demokratike e Kosovës (PDK) ishte subjekti i fundit që e bëri publike listën e saj, së cilës i prin kandidati për kryeministër, Bedri Hamza. Pas tij renditen Uran Ismaili e Vlora Çitaku, ndërsa bie në sy ngjitja e Arian Tahirit në dhjetëshen e parë. Një emër që ka nxitur debate është ai i Nait Hasanit, i përfolur për dyshime rreth manipulimeve me vota në zgjedhjet e kaluara, gjë që ka nxitur edhe reagimin e kryetarit të Prizrenit, Shaqir Totaj, i cili u distancua nga ky propozim.

Te Aleanca për Ardhmëri të Kosovës, përgjegjësinë e bartësit të listës e ka marrë Ardian Gjini. Ndërkohë, lideri i partisë, Ramush Haradinaj, ka zgjedhur të garojë me numrin 11. Nga ana tjetër, partitë si AKR kanë njoftuar se nuk do të marrin pjesë fare në këto zgjedhje, ndërsa PSD-ja do të jetë e pranishme me një listë të shkurtër prej vetëm gjashtë kandidatësh.

Lajmet
Kosova dhe Shqipëria prezantohen në Kanë me pavijon të përbashkët dhe premierën e filmit “Dua”
Published
4 hours agoon
May 13, 2026By
UBT News
Qendra Kinematografike e Kosovës ka njoftuar hapjen e Pavijonit të Kosovës në kuadër të Marché du Film, tregut zyrtar të Festivalit të Filmit në Kanë. Ky prezantim shënon vazhdimësinë e pjesëmarrjes së Kosovës në një nga ngjarjet më të rëndësishme të industrisë botërore të filmit.
Për të 15-in vit me radhë, Qendra Kinematografike e Kosovës dhe Qendra Kombëtare e Kinematografisë e Shqipërisë po prezantojnë së bashku kinematografinë shqiptare përmes pavijonit të përbashkët Kosovë-Shqipëri, me synim forcimin e bashkëpunimit dhe rritjen e dukshmërisë ndërkombëtare të produksioneve nga të dy vendet.
Ky edicion shënohet edhe me një moment të veçantë: premierën botërore të filmit “Dua”, i cili është përzgjedhur në programin prestigjioz Semaine de la Critique, ku garon për katër çmime kryesore. Përzgjedhja në këtë program konsiderohet një nga vlerësimet më të rëndësishme për filma të rinj në Kanë.
Pjesëmarrja e përbashkët dhe prezantimi i filmit “Dua” pritet të forcojnë më tej praninë e kinematografisë shqiptare në skenën ndërkombëtare.
Donald Trump mbërrin në Kinë për takim me Xi Jinping
Sorensen prezanton planin e punës për normalizimin e raporteve Kosovë-Serbi gjatë takimeve në Bruksel
Gjykata Supreme shfuqizon tarifën 3-euroshe për shoqëruesit e pacientëve në QKUK
Pakistani: Ndërmjetës apo oportunist?
Publikohen listat e kandidatëve, këta janë emrat që synojnë ulëset e Kuvendit
Kosova dhe Shqipëria prezantohen në Kanë me pavijon të përbashkët dhe premierën e filmit “Dua”
Kanye West humb gjyqin për shkelje të të drejtave të autorit
Arijanet Muriç konfirmon largimin nga Italia: “Nuk do të luaj më për Sassuolon”
UEFA gjobit Fenerbahçen me 10 milionë euro: Nën llupë kontratat e Mourinhos dhe Akturkoglu
Të kërkuara
-
Lajmet3 months agoUBT nderon Familjen Jashari me Dekoratën Jetësore të Nderit
-
Lajmet2 months agoKoordinatorja e projektit AKIL-EU në UBT, prof. Manjola Zaçellari, referon në University of Oxford
-
Live3 months agoKryegjykatësi Smith III shpall mbylljen e çështjes gjyqësore
-
Lajmet3 months agoPërfundon seanca e sotme në Hagë për pengim të drejtësisë
